The Cell Cycle Mp 4
MP4 bestand – 30,7 MB 103 downloads

De celcyclus is het proces waarin een cel zich voorbereidt op celdeling en de daadwerkelijke celdeling zelf. Dit proces is essentieel voor groei en herstel van weefsels. 

De celcyclus bestaat uit verschillende fasen: de interfase (G1-, S- en G2-fase) en de mitose (M-fase). 

De interfase is een actieve fase in de celcyclus, waarin de cel groeit, zijn DNA repliceert en zich voorbereidt op celdeling. Het is niet een "rustfase" zoals eerder werd gedacht, maar een fase van intense activiteit. De interfase wordt onderverdeeld in drie fasen: G1, S en G2. 

Interfase:

Dit is de voorbereidende fase voor de celdeling en bestaat uit drie subfasen:

  • G1-fase: De cel groeit en maakt de benodigde eiwitten en organellen aan. 
  • S-fase: Hier vindt DNA-replicatie plaats, waarbij het DNA in de cel verdubbeld wordt. 
  • G2-fase: De cel controleert of alles in orde is voor de celdeling en maakt extra eiwitten en andere benodigdheden aan. 

Belang van de Interfase:

  • Celgroei:

De cel neemt in grootte toe en maakt de benodigde eiwitten en organellen aan voor de celdeling. 

  • DNA-replicatie:

Essentieel voor het behoud van genetische informatie bij celdeling. 

  • Voorbereiding op mitose:

De cel controleert de kwaliteit van het DNA en maakt zich klaar voor de verdeling van het genetisch materiaal. 

  • Controlemechanismen:

Er zijn checkpoints in de interfase (vooral aan het einde van G1 en G2) die de celtoestand controleren en zorgen dat de cel alleen verder deelt als alles in orde is. 

Mitose (M-fase):

  • Dit is de daadwerkelijke celdeling, waarbij de cel zich deelt in twee dochtercellen, elk met een complete set chromosomen.
  • Mitose heeft drie belangrijke controlepunten: het G1-controlepunt, het G2-controlepunt en het M-controlepunt. Deze controlepunten zorgen ervoor dat de celcyclus alleen doorgaat als alles in orde is, waardoor de kans op fouten en beschadigde cellen geminimaliseerd wordt. 
Celdeling Mp 4
MP4 bestand – 4,6 MB 92 downloads

Het leven is, letterlijk 'in wezen', gebaseerd op het vermogen van cellen om zich te delen in genetisch gelijkwaardige 'dochtercellen'. Het proces dat zich afspeelt vanaf het samensmelten van twee cellen tot haar eigen splitsing.

Een mens bestaat uit zo'n 37,2 biljoen cellen. (biljoen is 'n miljoen x 'n miljoen.....een mens heeft dus zo'n 37.200.000.000.000 cellen).

We gaan ons nu op nanoschaal begeven:

  • Eén nanometer (nm) is 'n miljoenste mm
  • Diameter menselijke haar is 80.000 nanometer

Een gemiddelde lichaamscel heeft een diameter van ongeveer 15 micrometer (15 μm)

  • 1 μm is één micrometer = ’n duizendste mm           
  • 15 μm = 0,015 mm dat is net zo dun als de helft van een velletje aluminiumfolie.
  • Een gemiddelde cel weegt ongeveer vijf nanogram = 5 miljardste gram

Het meest verbazingwekkende is dat het nu volgende zich uiterst nauwkeurig en perfect op elkaar afgestemd afspeelt in een voortdurend en zorgvuldig proces (ongewilde mutaties daargelaten, daarover later meer). Het blijft ongelooflijk dat zulke vanzelfsprekende processen plaatsvinden in een minuscuul celletje van slechts enkele duizendsten van een millimeter groot...

Zenuwcellen

Binnenin deze cel met een diameter van 0,015 mm bevinden zich maar liefst 13 Organellen met ieder een eigen cruciale functie.

Ongeveer 300 miljard cellen worden dagelijks vervangen. Al deze cellen worden niet even snel vernieuwd : volgens hun functie worden ze na enkele dagen al of pas na jaren vervangen. Cellen hebben dus een eigen leeftijd.

Skeletcellen kunnen enkele tientallen jaren leven, spiercellen uit het ademhalingsstelsel ongeveer 15 jaar. Van alle hartcellen wordt jaarlijks vanaf je twintigste ongeveer 1% vervangen.

Zenuwcellen kennen een ander levensverhaal. 

Bij de geboorte zijn de meeste zenuwcellen (neuronen) al aanwezig, maar het aantal neemt gedurende het leven af. Wel kunnen er nieuwe verbindingen tussen neuronen worden gevormd, en er is ook sprake van een proces genaamd neurogenese, waarbij nieuwe neuronen worden aangemaakt, maar dit gebeurt niet op dezelfde manier of in dezelfde mate als bij de geboorte. 

Tot het einde van de vorige eeuw dachten neurowetenschappers dat volwassen hersenen geen nieuwe hersencellen meer maken. Vanaf dat moment zou er onvermijdelijk sprake zijn van aftakeling, aangezien hersencellen afsterven en niet worden vervangen. In fasen ontdekten wetenschappers dat daar niets van klopte. Zo ontdekte de medische wetenschap In de jaren ’50 dat de hersenen flexibeler, soepeler en plooibaarder zijn dan gedacht. Dankzij deze neuroplasticiteit kunnen de hersenen nieuwe verbindingen creëren tussen neuronen (zenuw- of hersencellen) en zich tot op zekere hoogte herstellen na letsel of beroertes, een proces dat neurogenese wordt genoemd. Bij een hersenletsel worden nieuwe hersencellen vooral toegevoegd aan de slaapkwab (temporale kwab) en de voorhoofdskwab (frontale kwab). Deze nieuwe cellen kunnen helpen bij het herstelproces en het aanleren van nieuwe vaardigheden en gewoonten. 

De hippocampus, een hersengebied dat belangrijk is voor leren en geheugen, worden ook op latere leeftijd nog nieuwe zenuwcellen (neuronen) aangemaakt. Het is aangetoond dat het ook bij volwassenen en zelfs ouderen doorgaat, zij het in mindere mate dan in de kindertijd. 

Nieuwe neuronen tot je negentigste

Denk je dat je brein met de jaren alleen maar achteruitgaat? Goed nieuws: zelfs als je ouder wordt, blijven er nieuwe hersencellen aangemaakt worden. 

Celdeling

De meeste cellen delen zich gemiddeld eens in de drie tot vier maanden. Met een indrukwekkend aantal van 37,2 biljoen cellen is er een constant proces van vervanging, deling en apoptose (waarbij een cel zichzelf afbreekt zonder ontstekingen te veroorzaken).

De duur van een celdeling

  • De eerste fase van de celcyclus heet interfase en duurt met 23 uur het langst. Deze fase bestaat uit drie delen: G1, S en G2. Vóór de G1 fase zitten de cellen nog een G0 fase (G nul). Hierin vervullen ze gewoon hun functie voor het organisme waar ze deel van uit maken. Tijdens de 11 uur van G1 verdubbelt de cel zijn inhoud, verzamelt energie en maakt bouwstenen aan ter voorbereiding op de volgende stappen, waardoor de cel groeit.
  • In de S-fase, die 8 uur duurt, wordt het DNA gerepliceerd, een proces dat door honderden eiwitten wordt gecontroleerd om fouten te voorkomen. DNA-replicatie vraagt veel energie en grondstoffen, waarna de cel in G2, die 4 uur duurt, kan herstellen.
  • Het tweede stadium van de celcyclus is M-fase, of mitose. Hoewel er veel gebeurt tijdens mitose, duurt dit slechts 1 uur. In deze fase worden de verdubbelde chromosomen gecontroleerd uit elkaar getrokken, elk naar een eigen kant van de cel.
De mitose kent vijf subfasen: profase, prometafase, metafase, anafase en telofase. Deze fasen beschrijven de opeenvolgende stappen van de celdeling, waarbij de chromosomen gelijkmatig verdeeld worden over twee nieuwe cellen. 
  • Profase:
    De chromosomen condenseren en worden zichtbaar als afzonderlijke structuren. Het kernmembraan begint af te breken en het spoelfiguur vormt zich.
  • Prometafase:
    Het kernmembraan is volledig verdwenen en de chromosomen hechten zich aan de spoeldraden van het spoelfiguur via de kinetochoren.
  • Metafase:
    De chromosomen zijn uitgelijnd in het midden van de cel, op het equatoriaalvlak, en zijn klaar om uit elkaar getrokken te worden.
  • Anafase:
    De zusterchromatiden van elk chromosoom worden van elkaar gescheiden en naar tegenovergestelde polen van de cel getrokken door de spoeldraden.
  • Telofase:
    De chromosomen bereiken de polen van de cel en beginnen te despiraliseren. Nieuwe kernmembranen vormen zich rond de twee sets chromosomen, en het spoelfiguur verdwijnt.

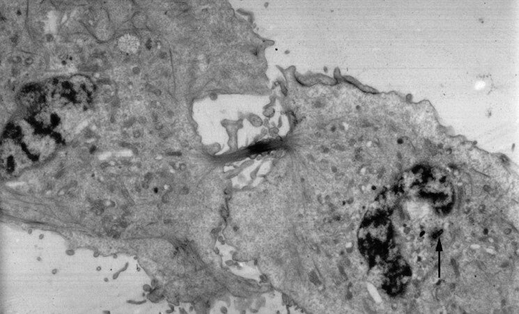
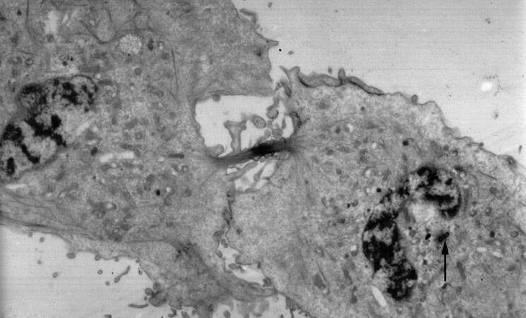
Na de telofase volgt de cytokinese, waardoor twee dochtercellen ontstaan met elk een complete set chromosomen.

Cytokinese is de feitelijke celdeling waarbij het cytoplasma en de organellen worden verdeeld en de cel zich in twee aparte dochtercellen splitst. Aan het begin van de cytokinese bevindt er zich in de twee verschillende polen van de cel een identieke hoeveelheid erfelijk materiaal. Ook de verschillende celorganellen zijn evenredig verdeeld tussen de twee polen. Het resultaat van de cytokinese zijn normaliter twee identieke dochtercellen.

Cytokinesis Mp 4
MP4 bestand – 4,7 MB 93 downloads

Een delingsgroef(cleavage furrow) is een structuur die ontstaat tijdens cytokinese, de laatste fase van de celdeling. Het is een opvallende inkeping of groef die op het celoppervlak verschijnt terwijl de cel zich voorbereidt op de celdeling, en die het begin markeert van de 'knijping' van de cel in twee afzonderlijke dochtercellen. Deze groef wordt gevormd door een samentrekkende ring, die het celmembraan en cytoplasma samentrekt, wat uiteindelijk leidt tot de volledige scheiding van de twee dochtercellen.

Celdeling en kerndeling

Celdeling is niet hetzelfde als kerndeling, hoewel ze nauw met elkaar verbonden zijn. Celdeling is een breder proces waarbij de gehele cel, inclusief de kern, zich deelt. Kerndeling, oftewel mitose, is een specifiek onderdeel van de celdeling, waarbij de chromosomen in de celkern worden verdeeld. Zonder een correcte kerndeling zouden de dochtercellen niet de juiste hoeveelheid en de juiste chromosomen bevatten, wat leidt tot fouten in de celdeling. 
  • Celdeling:
    Dit is het algemene proces waarbij een cel zich splitst in twee dochtercellen. Dit proces omvat de verdeling van alle celonderdelen, inclusief de celkern, het cytoplasma en andere organellen. 
  • Kerndeling (Mitose):
    Dit is het proces waarbij de chromosomen in de celkern nauwkeurig worden gekopieerd en verdeeld over de twee dochtercellen. 
     

Meiose, ook wel bekend als reductiedeling, is een proces van celdeling waarbij een diploïde cel (met twee sets chromosomen) zich splitst om vier haploïde cellen (met één set chromosomen) te produceren. Deze haploïde cellen, ook wel geslachtscellen of gameten genoemd, zijn essentieel voor seksuele voortplanting. 

De meiose is een vorm van celdeling die leidt tot de productie van gameten (eicellen en zaadcellen).

Bron afbeeldingen cytokinese en meiose: Wikipedia

Cellen weten precies wanneer het tijd is om zich te delen.

Dit weten cellen dankzij een complexe reeks interne en externe signalen. Deze signalen zijn afkomstig van eiwitten en andere moleculen, en ze werken als een soort 'verkeerslicht' voor de cel, die bepaalt of de cel mag delen of niet.

Cellen regelen hun celdeling door met elkaar te communiceren. Dit doen ze door middel van chemische signalen van speciale eiwitten genaamd cyclinen.

Cyclinen fungeren als de 'startknop' voor deze processen. Ze activeren kinase-eiwitten, een groep enzymen die in staat zijn een fosfaatgroep (P) aan een ander eiwit toe te voegen. Een kinase gebruikt hierbij een katalysatiereactie die de snelheid van een specifieke chemische reactie beïnvloedt.

Naast de signalen binnen de cel zijn er ook signalen van buitenaf, afkomstig van speciale signaalstoffen zoals hormonen, neurotransmitters en andere moleculen.

Als een cel zich deelt, worden de onderdelen van de cel gelijkelijk over de twee dochtercellen verdeeld. We weten sinds een halve eeuw dat de informatie om de cel op te bouwen en te laten werken in lange draden DNA vast ligt, als de letters en woorden in een zin. De DNA-draden moeten in de kern blijkbaar helemaal uiteen getrokken zijn, om te kunnen functioneren. We weten immers dat de informatie van het DNA over de hele lengte van de draden verspreid is en om de informatie aan twee dochtercellen door te geven, moeten de DNA-draden dus eerst in de volle lengte opgesplitst worden. 

Vooraf hier is het noodzakelijk te weten hoe het DNA is opgebouwd.

From Dna To Protein Mp 4
MP4 bestand – 24,1 MB 91 downloads

Dit is het proces van eiwitsynthese.

Het is een essentieel proces voor alle levende organismen, omdat eiwitten een cruciale rol spelen in tal van cellulaire functies, zoals het katalyseren van reacties, het transporteren van stoffen, en het bieden van structurele steun. Het proces omvat twee belangrijke stappen: transcriptie en translatie. 

  • Transcriptie: In de celkern wordt een kopie gemaakt van het DNA in de vorm van messenger RNA (mRNA). 
  • Translatie: Het mRNA verlaat de celkern en bindt zich aan ribosomen in het cytoplasma, waar het wordt vertaald in een keten van aminozuren. Deze aminozuurketen vouwt zich vervolgens tot een specifiek eiwit. 
 

Eiwitsynthese, het proces waarbij cellen eiwitten produceren, is nauw verbonden met de Genetische code

De genetische code is een systeem dat beschrijft hoe de volgorde van nucleotiden in DNA en RNA wordt vertaald naar de volgorde van aminozuren in eiwitten. Nucleotiden zijn de bouwstenen van DNA en RNA, en de genetische code maakt gebruik van combinaties van drie nucleotiden (codons) om elk aminozuur te specificeren. 

Nucleotiden zijn bouwstenen van het DNA bestaande uit een fosfaatgroep, een desoxyribose (eenvoudige koolhydraten) en een stikstofbase. 

Nucleotiden 'voelen' dat ze energie en signalen af kunnen geven binnen een cel.

  • Er zijn vijf stikstofbasen die betrokken zijn bij de opbouw van DNA: Cytosine (C), Guanine (G), Adenine (A), Thymine (T) en Uracil (U). In RNA wordt Thymine vervangen door Uracil. De volgorde van deze stikstofbasen bepaalt onze erfelijke eigenschappen.
  • Desoxyribose zijn de eenvoudigste koolhydraten (suikers). Het zijn verbindingen van koolstof-, waterstof- en zuurstofatomen.
  • Fosfaat is een verbinding van fosfor met zuurstof. Fosfaatverbindingen spelen een belangrijke rol in de energievoorziening.

De Nucleobasen voor DNA zijn de vijf genoemde stikstofbasen adenine, thymine, cytosine en guanine.
Aangezien het DNA bestaat uit een dubbelstreng, worden er tussen de basen waterstofbruggen gevormd.

Een waterstofbrug is een voorbeeld van een intermoleculaire binding: het is een binding die plaatsvindt tussen moleculen. De moleculen waartussen een waterstofbrug kan voorkomen bevatten een waterstofatoom dat verbonden is aan een zuurstof- en/of stikstofatoom. Het H-atoom slaat als het ware een brug tussen twee moleculen.

Een waterbrug ontstaat als een positief geladen waterstofatoom wordt aangetrokken wordt door een negatief geladen atoom van een ander molecuul. In levende cellen ontstaan waterstofbruggen meestal tussen negatief geladen zuurstof- en/of stikstofatomen.

Chromosomen 

Wat is nu eigenlijk het verschil tussen DNA en een chromosoom. Allebei zijn ze aanwezig in de celkern en beide zijn de erfelijkheidsdragers van het organisme. DNA is een extreem lang molecuul, van wel 2 meter lang.....

Tijdens de deling in de celcyclus is het belangrijk dat de 46 lange DNA-strengen netjes geordend zijn. DNA kan dit bereiken door zichzelf te organiseren in een dubbele spiraal. Dit ordenen begint bij het binden van eiwitten (histonen) aan het DNA. Het zijn dan eiwitballetjes dat nog het meest op een kralenketting lijkt. Je spreekt dan niet meer van histonen omwikkeld door DNA, maar van chromatine. Wanneer chromatine verder opgerold wordt, ontstaat er een chromosoom. Een chromosoom is in feite dubbel gespiraliseerd DNA, dat rondom eiwitten gewikkeld is.

Het genoom, alle erfelijke eigenschappen bij elkaar, ligt op 46 chromosomen die zich in de celkern bevinden. Deze 46 chromosomen (2x23) bevatten gezamenlijk ongeveer 20.000 erfelijke eigenschappen. De bouw van het DNA-molecuul is in wezen verrassend simpel.

Het genoom

Ons genetisch materiaal (DNA) ligt opgeslagen in chromosomen in de kernen van onze cellen. DNA is opgebouwd uit twee lange, met elkaar vervlochten strengen van zogeheten nucleotiden. Die bestaan uit fosfaat, desoxyribose (een suikersoort) en een base. Van die basen kennen we vier verschillende: cytosine, guanine, thymine en adenine. Ze worden afgekort met de letters C, G, T en A. De volgorde van die vier letters van al het DNA in een menselijke cel wordt het genoom genoemd. Dit genoom bestaat uit iets meer dan zes miljard afzonderlijke DNA-letters, verspreid over 23 paar chromosomen.

Bron afbeelding: KIJK Magazine

  • Een ruggengraat bestaande uit suiker- en fosformoleculen en de treden van de ladder die opgebouwd zijn met maar vier letters. G, C, A en T.
  • Het zijn deze vier letters van de treden van de ladder die al 2,5 miljard jaar het leven van een organisme vastleggen in genetische codes.
Dna Replication Mp 4
MP4 bestand – 7,9 MB 87 downloads

DNA-replicatie is het proces waarbij een cel een exacte kopie van zijn eigen DNA maakt. Dit proces is essentieel voor de celdeling, waarbij genetische informatie van de moedercel wordt doorgegeven aan de dochtercellen. 

Bij DNA-replicatie spreekt men ook wel van DNA-synthese. Dit proces vindt plaats tijdens de S-fase van de celcyclus. 

 

  • DNA-replicatieis de algemene term voor het proces waarbij DNA wordt gekopieerd. 
     
  • DNA-syntheseis de meer specifieke term die verwijst naar het maken van nieuw DNA, waarbij nucleotiden worden samengevoegd tot een nieuwe DNA-streng. 

Genetische mutaties zijn veranderingen in DNA-sequenties die plaatsvinden tijdens de celdeling. Ze kunnen chronische ziekten zoals kanker veroorzaken, maar ook bijdragen aan het vermogen van mensen om zich in de loop van de tijd beter aan te passen aan hun omgeving.

Reparatie van DNA

Elke dag zijn er miljoenen celdelingen in het lichaam. Tijdens al die celdelingen kunnen mutaties optreden. De zogenaamde ‘reparatiegenen’ repareren foutjes die ontstaan als een cel deelt en het DNA zich verdubbelt.

What Happens When Your Dna Is Damaged Mp 4
MP4 bestand – 8,9 MB 90 downloads

Bij DNA-reparatie werkt DNA-polymerase als een 'spellingscontrole', waarbij het de DNA-strengen controleert op fouten en deze repareert. Dit is essentieel om mutaties te voorkomen die kunnen leiden tot ziektes zoals kanker.

DNA-polymerase

Een polymerase is een enzym dat de vorming van lange ketens, of polymeren, van nucleotiden (DNA of RNA) versnelt, waardoor nieuwe DNA- of RNA-strengen ontstaan.

Een polymerasedomein is een onderdeel van een DNA-of RNA- polymerase--enzym dat zorgt voor het aan elkaar koppelen van nieuwe DNA- of RNA-strengen.

DNA-polymerase werkt als volgt:

Het voegt nieuwe nucleotiden toe aan een bestaande DNA- of RNA-keten en doet dit volgens het basenparingprincipe van Watson en Crick. Dit houdt in: de specifieke manier waarop stikstofbasen in DNA met elkaar combineren. In DNA vormt adenine (A) altijd een paar met thymine (T), en guanine (G) altijd een paar met cytosine (C)..

Een ongecontroleerde celdeling is wanneer cellen zich blijven delen zonder de normale regulering, wat kan leiden tot de vorming van een tumor of gezwel. Zoals vermeld, is een 'spellingscontrole' cruciaal om mutaties te voorkomen die kunnen leiden tot ziekten zoals kanker. 

Een Ongecontroleerde Celdeling Mp 4
MP4 bestand – 5,7 MB 96 downloads

Heb je je ooit afgevraagd hoe kanker zich ontwikkelt? Bekijk van dichtbij de deling van kankercellen in een realistische 3D-animatie. Vergelijk de celdeling van gezonde dierlijke cellen met de ongereguleerde deling van kankercellen om de groei van tumoren beter te begrijpen. Een geanimeerde dagelijkse timer geeft in realtime het totale aantal geproduceerde dochtercellen weer tijdens de celdeling van zowel gezonde als kankercellen.

Deze indrukwekkende en meeslepende video toont de agressieve aard van deze ziekte en laat zien dat ongereguleerde celdeling de onderliggende oorzaak van kanker is.

Bron video: Spongelab Community

Bij de miljoenen celdelingen die dagelijks in ons lichaam plaatsvinden, kan er soms iets misgaan tijdens de DNA-replicatie, wat fouten in het DNA van een cel kan veroorzaken. Als deze fouten niet worden hersteld, kan dit uiteindelijk leiden tot ongecontroleerde celdeling en de vorming van een tumor.
  • Reparatie:
    Ons lichaam heeft een 'cel-reparatiesysteem' dat deze fouten kan herstellen.
  • Tumorvorming:
    Als de fouten niet worden hersteld en er zich meerdere fouten in dezelfde cel opstapelen, kan de cel ongecontroleerd gaan delen en een tumor vormen. 
  • Kanker:
    Een tumor kan goedaardig of kwaadaardig zijn. Bij kwaadaardige tumoren, ook wel kanker genoemd, kunnen de cellen omliggende weefsels en organen binnendringen en zich verspreiden via uitzaaiingen. 
Een zenuwcel (neuron) heeft geen celcyclus zoals andere cellen die zich delen. Zodra een zenuwcel is gevormd, deelt deze zich niet meer. Ze kunnen wel beschadigd raken of afsterven, maar ze worden niet vervangen door nieuwe delingen.
  • Zenuwcellen:
    Zenuwcellen, of neuronen, zijn gespecialiseerd in het ontvangen, verwerken en doorgeven van informatie. Ze zijn cruciaal voor het zenuwstelsel.
  • Ontwikkeling:
    Tijdens de ontwikkeling van een organisme worden zenuwcellen gevormd, maar ze delen zich niet meer zodra ze volgroeid zijn.
  • Beschadiging:
    Hoewel zenuwcellen niet delen, kunnen ze wel beschadigd raken door bijvoorbeeld letsel of ziekte. In sommige gevallen kunnen zenuwcellen ook afsterven.

Neurogenese is het proces waarbij nieuwe zenuwcellen, of neuronen, worden gevormd in de hersenen. Lange tijd werd gedacht dat dit proces alleen in de ontwikkelende hersenen plaatsvond, maar recent onderzoek heeft aangetoond dat neurogenese ook in de volwassen hersenen, met name in de hippocampus, kan voorkomen. Deze nieuwe zenuwcellen kunnen een rol spelen bij leren, geheugen en herstel van de hersenen. 

 

Neurowetenschapper Sandrine Thuret presenteert een onderzoek en geeft praktisch advies over hoe we onze hersenen kunnen helpen: Je kan nieuwe hersencellen aanmaken 

Echter, tijdens de embryonale ontwikkeling vindt het grootste deel van de neurogenese plaats. Tijdens de vroege stadia van de embryonale ontwikkeling, vooral tijdens de neurulatie, wordt de basisstructuur van het zenuwstelsel gelegd. 

Neurulatie is het proces in de vroege embryonale ontwikkeling waarbij de neurale plaat zich omvouwt tot de neurale buis. Deze neurale buis is de voorloper van de hersenen en het ruggenmerg, het centrale zenuwstelsel. 

Neurogenese Tijdens De Embryonale Ontwikkeling Animatie Mp 4
MP4 bestand – 22,1 MB 96 downloads

De video begint met voorlopercellen die voortkomen uit de neurale buis. Dit zijn stamcellen die zich ontwikkelen tot verschillende celtypen in het zenuwstelsel. Tijdens de ontwikkeling van de neurale buis, een structuur die later de hersenen en het ruggenmerg vormt, differentiëren deze voorlopercellen zich tot diverse soorten zenuwcellen die essentieel zijn voor het functioneren van het zenuwstelsel.

Er zijn drie hoofdtypes zenuwcellen (neuronen) in het menselijk zenuwstelsel: sensorische of gevoelszenuwcellen, motorische of bewegingszenuwcellen en intern- of schakelzenuwcellen

  • Sensorische neuronen geleiden impulsen van de zintuigen naar het centrale zenuwstelsel (hersenen en ruggenmerg). 
  • Motorische neuronen geleiden impulsen van het centrale zenuwstelsel naar spieren en klieren, waardoor beweging en andere functies mogelijk worden.
  • Internneuronen bevinden zich in het centrale zenuwstelsel en verbinden andere neuronen met elkaar, waardoor complexe signalen kunnen worden verwerkt. Schakelcellen zorgen ervoor dat de impuls wordt overgedragen op bewegingszenuwcellen, maar ook dat de impuls bij de hersenen terecht komt.

Naast deze drie hoofdtypes zijn er ook gliacellen, die een ondersteunende rol spelen in het zenuwstelsel en onder andere myeline produceren, voedingsstoffen leveren en het zenuwweefsel beschermen. 

Elke zenuwcel heeft een cellichaam met daarin een celkern. Verder hebben alle cellichamen meerdere langere of kortere uitlopers. Deze langere of kortere uitlopers heten dendrieten of axonen.

Bron afbeelding: Biologielessen.nl

Er is een opvallende overeenkomst tussen het netwerk van de hersenen en de grootschalige structuur van het universum.

Onze hersenen vormen een complex netwerk van ongeveer 100 miljard zenuwcellen die samen tot wel 100 triljard verbindingen kunnen maken. Interessant genoeg wordt het aantal sterrenstelsels in ons universum ook geschat op zo’n 100 miljard! Door de interactie tussen zwaartekracht en de uitdijing van het universum ontstaan 'draden' van gewone en donkere materie. Deze draden zijn gebieden met een hogere dichtheid van gas en donkere materie, die sterrenstelsels met elkaar verbinden.

………Elke hersencel, elke ster en elk sterrenstelsel zendt signalen uit: elektrochemisch en/of elektromagnetisch.....

De grootschalige structuur van het Universum is                      Het Kosmische Web.

Het hersennetwerk en de Evolutie van de hersenen is m'n volgende Verdieping.

De mensheid heeft door de evolutie van de hersenen een unieke manier van leven ontwikkeld. Overal ter wereld hebben mensen zich aangepast aan de voortdurend veranderende tektonische, klimatologische, atmosferische en biologische omstandigheden. Het is altijd een kwestie geweest van “Survival of the fittest”... wie zich aanpast, overleeft.